logo

CONSULTORIOS ODONTOLÓGICOS Dra. María del Carmen Renzulli

CASOS CLÍNICOS

IMPLANTES

CORONAS

REHABILITACIÓN

PRÓTESIS

ORTODONCIA

• Rehabilitaciones bucales parciales y completas sobre implantes

• Estética

Diagnosticamos, planificamos y ejecutamos el mejor tratamiento preventivo, correctivo y restaurador para cada caso en particular de nuestros pacientes de Santa Fe, Argentina y el mundo.

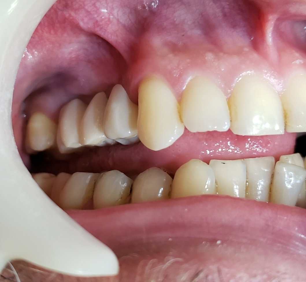
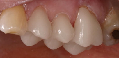
Puente de Zirconio sobre implantes

blanqueamiento
blanqueamiento

Incrustación dentaria

blanqueamiento
blanqueamiento
blanqueamiento

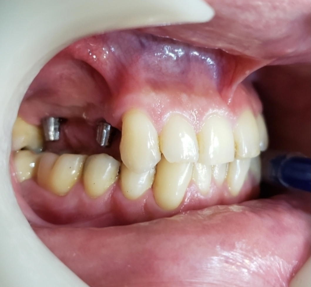
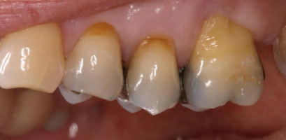
Coronas de Zirconio sobre implantes

blanqueamiento
blanqueamiento

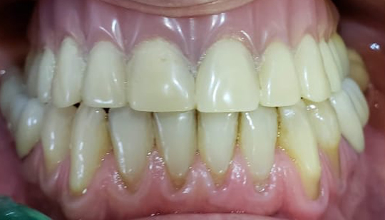
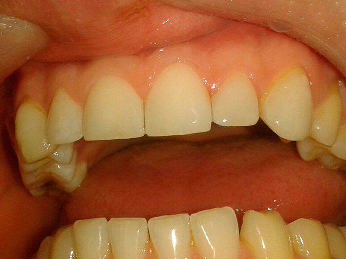
Coronas de porcelanas sobre dientes

blanqueamiento
blanqueamiento
blanqueamiento
blanqueamiento
blanqueamiento

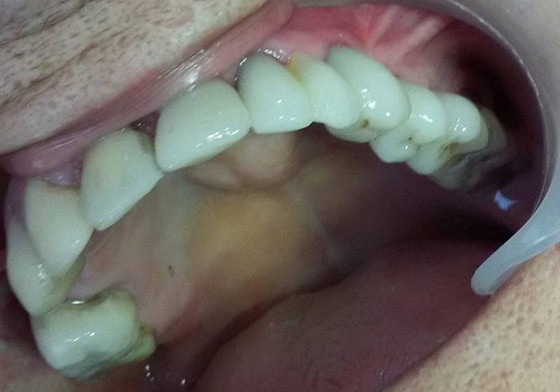
Rehabilitación Protésica

blanqueamiento
blanqueamiento
blanqueamiento

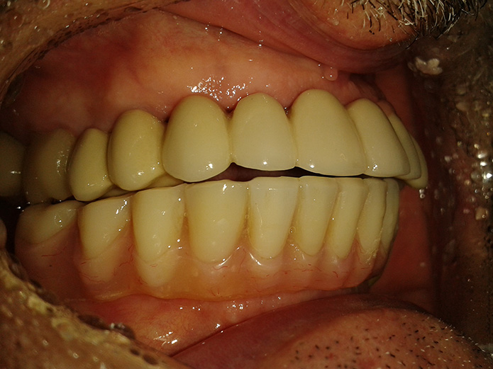
Prótesis híbrida fija sobre implantes

blanqueamiento
blanqueamiento
blanqueamiento
blanqueamiento
blanqueamiento
blanqueamiento
blanqueamiento

Relleno de tercio inferior del rostro y escultura labial

Puente sobre implante de 5 piezas realizados con Emax Cad

Generic placeholder image
Generic placeholder image
Generic placeholder image
Generic placeholder image
Generic placeholder image
Generic placeholder image

Corona de porcelana "Cerec" sistema Cad-Cam

Generic placeholder image
Generic placeholder image
Generic placeholder image

Carillas estéticas

Generic placeholder image
Generic placeholder image
Generic placeholder image

Corona porcelana sin metal Cerec

Generic placeholder image
Generic placeholder image

Incrustación cerámica Cerec

Generic placeholder image
Generic placeholder image
Generic placeholder image
Generic placeholder image
Generic placeholder image

Prótesis inferior sobre ball attaches, sobre implantes

Generic placeholder image
Generic placeholder image
Generic placeholder image

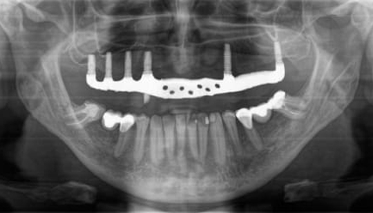
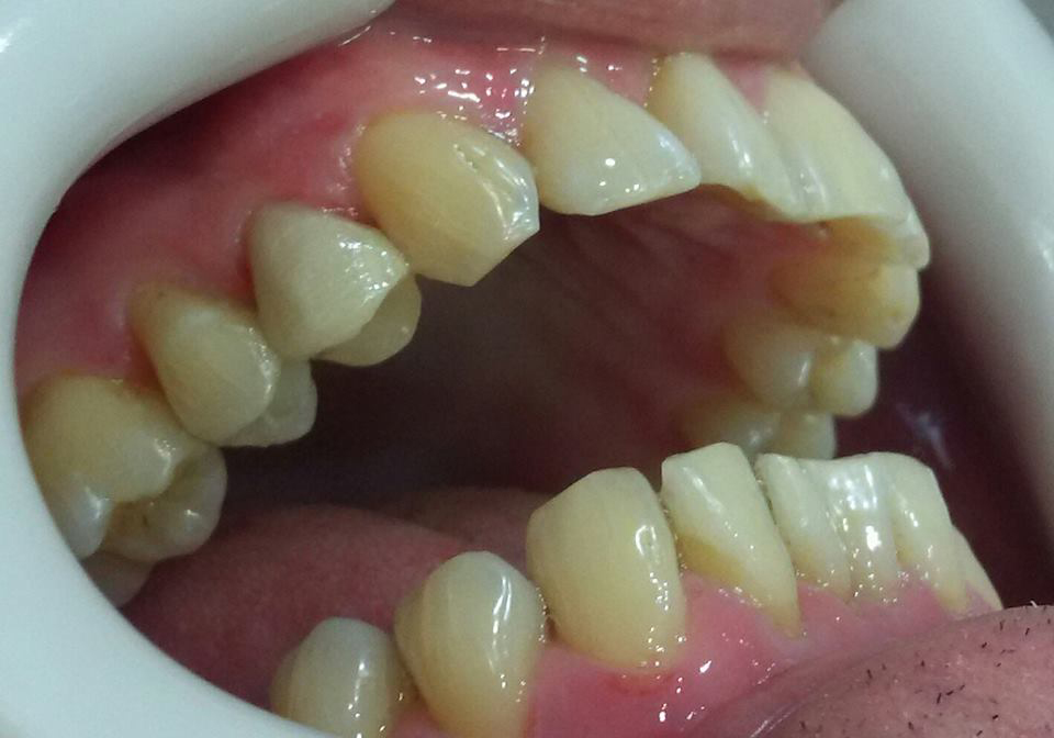
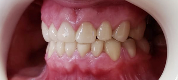
Rehabilitación completa sobre implantes

Generic placeholder image
Generic placeholder image
Generic placeholder image
Generic placeholder image
Generic placeholder image

NUESTRA TECNOLOGÍA

Contáctenos y obtenga el mejor tratamiento en base a diagnósticos presonalizados y tecnología de última generación.

Usamos tecnología 3D CEREC y materiales de alto rendimiento para máximas exigencias de elaboración y precisión.

Dra. María del Carmen Renzulli - Tecnología cerec

Unidad radiológica híbrida 2D/3D
Orthophos SL 3D

Dra. M. del Carmen Renzulli - Tecnología cerec